Navigatie : klik op de blauwe woorden om snel door de pagina te navigeren : RX thorax – Bewegingsapparaat – Myelografie – Artrografie – Abdomen – Slokdarm-maag-duodenum – Dunne darm – Colon – Gal_Pancreas – Urogenitaal_stelsel – Pyelografie – Cystografie – Eileiders – Mammografie – Galactografie – Pneumocystografie – Harpoenmakage –Mammotomie
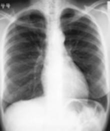
RX thorax
Dit is het meest uitgevoerde onderzoek op de dienst radiologie. Een thoraxfoto kan om veel redenen worden aangevraagd.

![]() | Als routine onderzoek bij een screening bv. arbeidsgeneeskunde, pre- en post operatief |
![]() | Bij vermoeden van een longletsel |
![]() | Bij kortademigheid |
![]() | Als opvolging van het effect van een behandeling |
![]() | Bij een trauma van de borstkas |
Er zijn in principe twee manieren om een thorax opname te maken:
![]() | De staande opname waar meestal een face en een profiel opname wordt genomen |
![]() | De liggende opname bij een patiënt die niet kan staan, normaal enkel face opname tenzij anders aangevraagd |
Het bewegingsapparaat
Misschien het meest gekende onderzoek op de radiologie. Namelijk de foto’s van de beenderen.
De indicaties hiervoor kunnen sterk uiteenlopen.
![]() | Trauma : het opsporen van fracturen, luxaties,.. |
![]() | Tumoren : zowel goedaardige als kwaadaardige tumoren kunnen op de röntgenfoto’s gezien worden |
![]() | Botontkalking: Osteoporose |
![]() | Artrose en artritis |
![]() | Opsporen van erfelijke botafwijkingen |

Voorbereiding:
![]() | Over het algemeen is er geen specifieke voorbereiding noodzakelijk |
![]() | Wel is het belangrijk dat er geen contrast in de darmen aanwezig is, bij opnames van wervels en bekken |
Nazorg:
![]() | Geen specifieke nazorg in acht te nemen. |
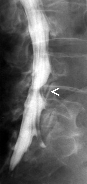
Myelografie

Myelografie is het in beeld brengen van het ruggenmergkanaal door middel van een contrasmiddel. Deze wordt door middel van een punctie ingespoten in de duraal zak in de lage rug. Er wordt dus in de rug geprikt zodat een naald door kan schuiven tussen de wervels tot in het ruggenmergkanaal. Dit kan gebeuren onder plaatselijke verdoving, maar dit is geen regel. Gesteld wordt dat er in elk geval moet geprikt worden. Er kunnen opnames genomen worden ter hoogte van de hals, borst of lage rug. Na de punctie worden er conventionele opnames gemaakt waarna de patiënt naar de CT-scan wordt gebracht om axiale beelden te maken in de regio waar zich mogelijk problemen voordoen.
Het is echter zo dat deze onderzoek steeds vaker vervangen wordt door een MRI vande rug, daar dit minder invasief is, minder risicos inhoudt en beter verdragen wordt door de patiënten.
Indicaties:
![]() | Het opsporen van een degeneratieve tussenwervelschijf |
![]() | Tumoraal proces tussen de wervels |
![]() | Trauma met fractuur of verplaatsing van een wervel |
![]() | Post operatieve problemen |
Voorbereiding:
![]() | De patiënt hoeft niet nuchter te zijn, al wordt dit in vele ziekenhuizen standaard wel zo gedaan. |
![]() | Let in elk geval op voor contrast-allergie. |
![]() | De patiënt wordt met zijn bed naar de radiologie gebracht |
![]() | Soms wordt er een oogfundusonderzoek gedaan, dit om papilstuwing uit te sluiten wat een tegenindicatie voor lumbaal punctie is. |
Nazorg:
![]() | Verplichte bedrust van 24h, om de drukverschillen ten gevolge van de punctie te laten op lossen. |
![]() | Aan te raden is om extra vocht op te nemen, drinken bijvoorbeeld., of zo nodig een infuus. |
![]() | Bij optreden van hoofdpijn, wordt de bedrust best verlengd. |
Artrografie
Een arthrografie wordt uitgevoerd om een gewrichtsholte te visualiseren. Hiervoor wordt een contrastmedium in het gewricht gespoten. Vaak wordt er eveneens lucht ingespoten. Dit om een duidelijker beeld te verkrijgen van de kraakbeenoppervlakken van de gewrichten. Na een aantal opnames op de conventionele radiologie wordt er een CT-scan gedaan om het gewricht beter nog te kunnen evalueren. Plaatselijke verdoving kan gegeven worden maar is niet de regel, denk erom dat er steeds een prik gegeven wordt, vaak is voor de punctie maar een prik nodig, met de verdoving worden het er twee.

Een arthrografie kan ook gebeuren ter voorbereiding van een MRI onderzoek. De indicaties en de de voor- en nazorg blijven indentiek.
Indicaties:
![]() | Letsels aan pezen en/of ligamenten van het gewricht |
![]() | Letsels van het gewrichtskapsel |
![]() | Ontwrichting |
![]() | Bot of kraarbeenletsels |
![]() | Gewrichtsmuizen (dit zijn kleine stukjes bot die los in het gewricht voorkomen) |
Voorbereiding:
![]() | Eventueel ontkleden van de punctieplaats, zoals schouder, heup, … |
![]() | Ruim ontsmetten van de punctieplaats om alle besmettingsrisico’s uit te sluiten |
![]() | Voor het inspuiten van het contrast wordt er best een foto genomen van het te onderzoeken gewricht. |
Nazorg:
![]() | De patiënt van de onderzoekstafel helpen (oppassen voor syncope) |
![]() | De patiënt zo nodig helpen aankleden, het onderzocht gewricht moet zo weinig mogelijk worden belast, denk eraan dat het onderzoek nu nog niet is afgelopen |
![]() | De patiënt zo snel mogelijk naar de CT-scan brengen |
Na het onderzoek kan de patiënt nog een tijd last hebben van een “klotsend” gevoel in het gewricht, dit is normaal er werd immers een vloeistof en lucht ingespoten. Ook eventueel pijn kan voorkomen. Voor die pijn kan een klasieke pijnstiller genomen worden. Indien de pijn erger wordt of niet over gaat is het aan te raden de behandelende geneesheer te contacteren voor meer doelgerichte pijnmedicatie.
Het gastro-intestinaal stelsel

RX abdomen overzicht
Een opname van het abdomen ter beoordeling van abdominale pijnklachten. Wordt zonder contrast genomen.
Bedoeling is om eventuele nier- of galstenen te zien, vrije lucht in het abdomen op te sporen en een beoordeling van de darmen te maken. Er wordt nagekeken of de darmen niet uitgezet zijn en of er al dan niet lucht- vocht niveaus te zien zijn.
Voorbereiding :
Hier zijn geen specifieke voorbereidingen nodig
Slokdarm – maag – duodenum (SMD)
Hierbij wordt door middel van een gedronken oplossing van Barium, het maag- darmstelsel zichtbaar gemaakt.
Hierdoor kan men eventuele afwijkingen opsporen in de structuur van de wand, zoals bijvoorbeeld ontstekingsreacties of ulceraties of zelfs tumoren.
Voorbereiding :
| De patiënt moet nuchter zijn vanaf tenminste vier uur voor het onderzoek | |
| Steeds een reden van onderzoek en eventueel recent ondergane operaties vermelden |
Nazorg:
| De patiënt voldoende laten drinken om het verharden van het barium (=baritomen) in de dikke darm te vermijden | |
| Indien er problemen met de stoelgang optreden, eventueel een laxativum toedienen |
RX transit
De dunne darm wordt onderzocht d.m.v. een gedronken contraststof. Daar door krijgt de radioloog een idee over de vorm structuur en verloop van de dunne darm alsook van de snelheid waarbij de vloeistof door de darm gaat.
Voorbereiding:
![]() | Nuchter minstens sinds vier uur voor het onderzoek |
![]() | Er mogen geen contrastresten aanwezig zijn van een vorig onderzoek |
![]() | Voldoende gegevens meegeven voor de radioloog zodat een goede anamnese gevormd wordt. |

Nazorg:
![]() | Obstipatie voorkomen door voldoende te drinken, dit om de vorming van baritomen te voorkomen |
![]() | Bij eventuele obstipatie een laxativum toedienen. |
![]() | Witte stoelgang na het onderzoek is volkomen normaal gezien de kleur van het ingenomen contrast. |
RX colon of colonclysma

Een onderzoek van de dikke darm door middel van een via rectale sonde ingebrachte vloeistof. Ook hier is het de bedoeling de dikke darm te beoordelen op vorm en structuur. Er wordt gekeken naar afwijkingen in het darmslijmvlies, de aanwezigheid van poliepen en eventuele vernauwingen.
Voorbereiding :
![]() | De patiënt dient nuchter te zijn sinds ten minste vier uur voor het onderzoek |
![]() | voordien krijgt de patiënt een laxativum zodat het colon zuiver is |
![]() | goede anamnese |
Nazorg:
![]() | Voldoende laten drinken om obstipatie te vermijden |
![]() | Zo nodig een laxativum toedienen |

Endoscopische Retrograde Cholangio- Pancreaticografie (E.R.C.P.)

Een specifiek onderzoek voor de pancreas en de galwegen. Het gebeurt in samen werking met een internist die de endoscopie verricht. De endoscoop wordt ingebracht via de mond tot ter hoogte van de uitmonding van de galwegen in de dunne darm( t.h.v. de papil van Vater) Daar wordt dan via een dunne katheter contrast ingebracht in de galwegen. Zo kan men eventueel aanwezige galstenen visualiseren. Ook kan er tijdens het onderzoek overgegaan worden tot het verwijderen van de galstenen.
Voorbereiding :
![]() | De patiënt is nuchter sinds ten minste vier uur voor het onderzoek |
![]() | Best wordt hij/zij met een bed naar de dienst radiologie gebracht |
![]() | Een waakinfuus wordt aangelegd, om eventuele problemen tijdens het onderzoek te kunnen opvangen, en om pijnmedicatie en verdoving toe te dienen |
![]() | Voorbereidende foto van de leverstreek wordt genomen voor het onderzoek |
Nazorg:
![]() | Aandacht voor het correct wakker worden van de patiënt |
![]() | Infuus zolang de patiënt onvoldoende zelf kan drinken |
![]() | Pijnmedicatie zo nodig |
Intraveneuze pyelografie (I.V.P.)
Na toediening van een intraveneus contrast kan men foto’s maken van de nieren en de afloop ervan naar de blaas.
Op die manier verkrijgen we informatie over de functie van de nieren. Daarnaast hebben we een beeld van het verloop van de ureters en de vorm en ligging van de nieren en de blaas.
![]() | De dag voor het onderzoek een laxativum toedienen, zodat de darmen zo zuiver mogelijk voorkomen |
![]() | De patiënt dient ten minste vier uur nuchter te zijn voor het onderzoek |
![]() | Er mag geen contrast aanwezig zijn van een vorig onderzoek |
![]() | OPGELET voor contrast allergie !! |
Nazorg:
![]() | Na het onderzoek voldoende laten drinken, om de nieren te helpen het contrast “uit te wassen” |
![]() | Bij contrast allergie, steed bedacht zijn op laattijdige reacties |
Het Uro-Genitaal stelsel


Cystografie
Hier verkrijgen we een beeld van de blaas door rechtstreekse inbrengen van een vloeistof in de blaas door een sonde. Deze kan retrograad langs de urethra of via een supra-pubische sonde in de blaas ingebracht worden.
Voorbereiding:
![]() | Er mag geen contrast aanwezig zijn van een vorig onderzoek |
![]() | Voor cystografie langs suprapubische sonde moet de blaas van de patiënt goed gevuld zijn |
Nazorg
![]() | Geen specifieke nazorg vereist |
Hysterosalpingografie
Onderzoek dat gebeurd in het kader van fertiliteitonderzoek. De bedoeling is een beeld te verkrijgen van het verloop van de eileiders. Op die manier kan de doorgankelijkheid worden nagegaan.
Voorbereiding:
![]() | Er mogen geen gekende contrastallergieën zijn |
![]() | Het onderzoek gebeurt het best tussen de 8ste en de 12de dag van de menstruele cyclus |
Nazorg:
![]() | Maandverband voorzien, er kan na het onderzoek een klein beetje bloed komen |
![]() | Opgepast voor syncope |
Mammografie

Hier wordt met behulp van een speciaal voor dit onderzoek ontworpen toestel foto’s gemaakt van het borstweefsel. Hierbij wordt de borst samengedrukt om de weefsels beter in beeld te krijgen alsook om de stralingsbelasting zo laag mogelijk te houden.
Indicaties:
![]() | Als screening, om eventueel een gezwel tijdig te ontdekken |
![]() | Bij klinisch vermoeden van een mogelijk gezwel (vb. een knobbel dat voelbaar is). |
![]() | Opvolgen van gekende borsttumoren |
![]() | Ook bij mannen kan het onderzoek uitgevoerd worden. |
Voorbereiding:
![]() | Goede uitleg door de uitvoerende technieker of geneesheer |
![]() | Onderzoek gebeurt het best na de menstruatie |
Nazorg:
![]() | Duidelijk zijn tegen de patiënten en geen misplaatste bezorgdheid veroorzaken |
![]() | Duidelijke afspraken over het meedelen van de resultaten |
Tegenindicaties:
![]() | Bij zwangerschap en borstvoeding |
![]() | Bij heel jonge vrouwen, daar er dan veel klierweefsel is en de mammografie onvoldoende informatie zal geven |
Bij een mammografie zal vaak ook een echografie gebeuren. De echografie dient vaak ter aanvulling van de foto’s. Beide onderzoeken brengen immers andere zaken aan het licht.
Galactografie
Het vullen van de melkwegen met contrast en daarna maken van een mammografie.Het onderzoek is soms aangewezen indien er vocht uit de tepelopening komt, vooral uit één opening, als het vocht bloederig of bruinachtig gekleurd is. Het onderzoek is niet zinvol als er beiderzijds uit meerdere openingen melkvocht wordt afgescheiden.
Voorbereiding:
Er is geen specifieke voorbereiding vereist.
Nazorg:
Geen specifieke nazorg.
Pneumocystografie
Dit onderzoek wordt door de steeds beter wordende echografie steeds minder uitgevoerd. De bedoeling hier is om een bestaande cyste met lucht te vullen, opdat ze op een mammografie foto duidelijker zouden voorkomen. Wat de beoordeling ervan verbeterd.
Voorbereiding:
Geen specifieke voorbereiding
Nazorg:
Geen specifieke nazorg.
Harpoenmarkage
Een verdachte plaats in de borst wordt aangeprikt en dan gecontroleerd. Op die manier kan voor de operatie de juiste plaats bepaald worden van het stuk dat verwijderd moet worden. Zo kan men enkel verdacht weefsel verwijderen zonder direct de volledige borst te moeten verwijderen.. De naald zal afhankelijk van de tumor onder echografie of mammografie gevolgd worden.
Voorbereiding:
![]() | De patiënt wordt opgenomen op een afdeling en naar de radiologie begeleid |
![]() | Aandacht voor de angsten en vragen van de patiënt |
![]() | Goede afspraken met de operatiekamer die daarna de markage gebruikt voor biopsie |
Nazorg:
specifieke postoperatieve opvolging. Na de markage gaat de patiënte immers naar de operatiekamer waar er een biopsie genomen wordt van het gemarkeerde letsel.
Mammotomie
Bij deze techniek wordt onder lokale verdoving een dikke holle naald onder echo- of stereotactische (onder mammografisch beeld) geleide, tot tegenaan het letsel gebracht. Door zuigkracht wordt het letsel als het ware in deze naald gezogen; het weefselstaatje wordt afgesneden en vervolgens via deze holle naald afgezogen. Er worden meerdere staaltjes weefsel genomen (tot 20-tal).
Mammotomie wordt aangewend om kleine groepjes van microverkalkingen weg te nemen en soms ook om kleine goedaardige letsels weg te nemen.
Verloop:De patiënte neemt plaats op een onderzoekstafel op de buik gelegen waarbij de borst in een ronde opening komt. De tafel wordt verhoogd, zodat gemakkelijk kan gewerkt worden. Onder radiografische geleiding wordt dan een punctie uitgevoerd onder plaatselijke verdoving. Indien de punctie onder echografische geleiding gebeurt, dan kan de patiënte op een onderzoekstafel plaatsnemen op de rug. Er wordt in principe maar een keer geprikt per letsel.
Voordelen:
Een belangrijk voordeel van de mammotomie is dat er geen algemene narcose moet ondergaan worden, en dit terwijl de biopsie resultaten even goed zijn als bij chirurgische biopsieën. Ook is het litteken slechts een paar millimeter groot.
Nadelen:
In principe zijn er weinig nadelen aan deze techniek. We weerhouden echter een mogelijkheid op een kleine plaatselijke interne bloeding (blauwe plek). Verder moet wel duidelijk gesteld worden dat deze techniek een diagnose voor ogen heeft en dus geen volledige vervanging kan betekenen voor een chirurgische ingreep. Al zal het in veel gevallen wel de mogelijkheid bieden om dat juist te vermijden.

