Tip : om een beeld te vergroten, klik met de muis rechts op de foto, kies “Openen in een ander tabblad”, ga naar dat ander tabblad. U kunt de grootte van de foto wijzigen met de klavier toetsen Ctrl & + en Ctrl & –
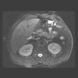
Abdomen

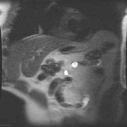
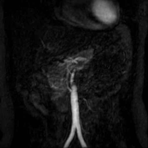
Angio abdominaal

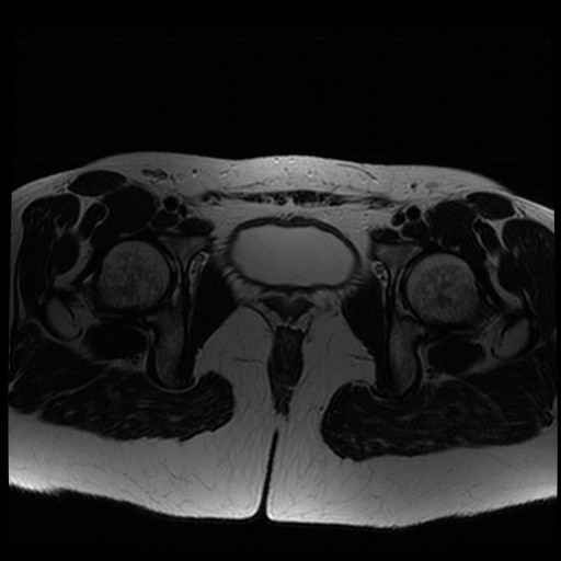
Bekken

Borst

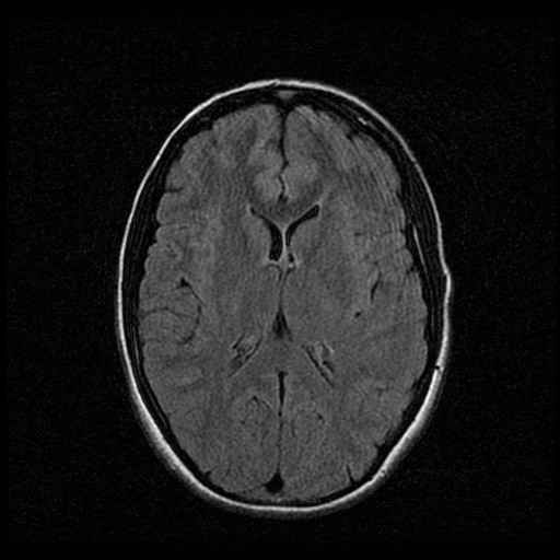
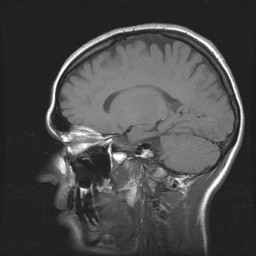
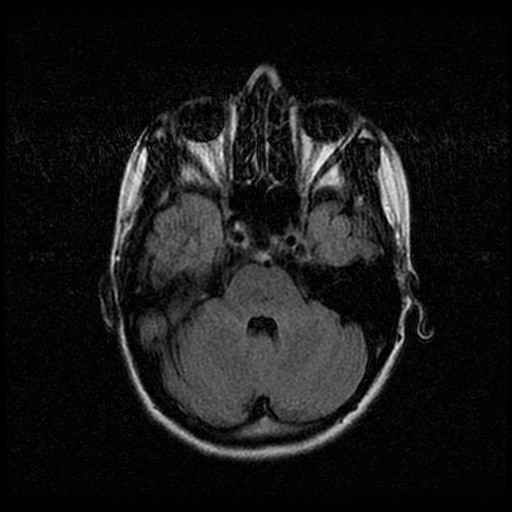
Schedel

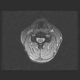
Centrale Wervel Zuil

Lage Wervel Zuil
