Beelden uit de klassieke radiologie
Thorax – Abdomen – Schedel – CWZ – DWZ – LWZ – Bekken – Full Spine – Schouder – Bovenarm – Elleboog – Onderarm – Pols – Hand – Heup – Bovenbeen – Knie – Onderbeen – Enkel – Voet – Full Leg – Transit – Colonografie – E.R.C.P. – I.V.P. – Cystografie – Hysterografie
Tip : om een beeld te vergroten, klik met de muis rechts op de foto, kies “Openen in een ander tabblad”, ga naar dat ander tabblad. U kunt de grootte van deze foto wijzigen met de klaviertoetsen Ctrl & + en Ctrl & –
Thorax

Schedel

Dorsale wervelzuil

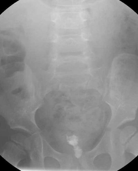
Bekken

Schouder

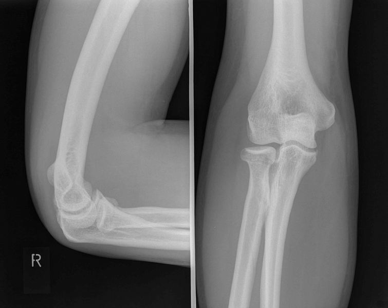
Elleboog

Pols

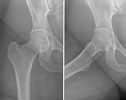
Heup

Knie

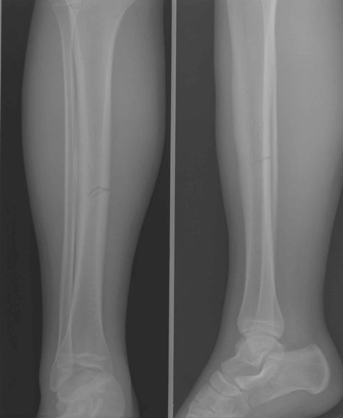
Enkel

Full leg

Colonografie

Cystografie

Hystero-salpingografie











