Patiëntinformatie en CT-scan

Welke onderzoeken worden er op de CT-scan uitgevoerd?
Wat zijn de voorbereidingen en wat is de nazorg?
De verschillende onderzoeken werden hier geplaatst volgens anatomische locatie:
Van het hoofd naar de voeten.
Navigatie : Hoofd – Hals – Wervelzuil – Thorax – Abdomen/Bekken – Skelet
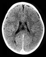
CT-scan van het hoofd

Een CT-scan van de hersenen kan uitgevoerd worden met of zonder contrasttoediening. Welke methode gebruikt wordt is afhankelijk van de indicatie. In sommige gevallen kan het aangewezen zijn het onderzoek eerst zonder en daarna met contrast uit te voeren om een duidelijker beeld te verkrijgen in de pathologie van de patiënt.
Bij een trauma kan de radioloog de genomen beelden ook interpreteren in een venster waarin de beenderstructuren duidelijker zichtbaar zijn.
Indien er contrast toegediend zal worden, is het noodzakelijk om nuchter te zijn voor het onderzoek. Best is hiervoor om minstens vier uur voor het onderzoek niet te eten of te drinken.
Terug naar navigatie
CT-Scan van de hals
Bedoeling van een scan van de hals kan zijn, het opsporen van een defect ter hoogte van de bloedvaten van de hals, of een abnormaal voorkomen van een bepaalde structuur in de hals, vb. een vergrote schildklier.
Een CT-scan van de hals wordt meestal uitgevoerd met contrast.
Uitzonderingen hiervoor zijn de onderzoeken van de schildklier.
Indien er contrast wordt gegeven moet de patiënt minstens vier uur voor het onderzoek nuchter gehouden worden.
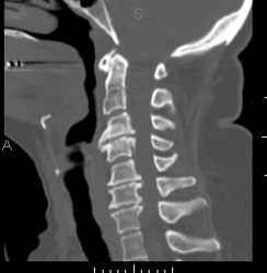
CT-Scan van de wervelzuil


Een ct-scan van de wervelzuil wordt in principe aangevraagd om letsels ter hoogte van de wervels te beoordelen, of om de doorgankelijkheid van het ruggenmergkanaal te controleren. Den hier aan het opsporen van een discus hernia, of een traumatisch letsel van een wervel.
Vraagt in principe geen specifieke voorbereiding.
De patiënt gaat op de rug liggen op de onderzoekstafel en moet blijven liggen tot na het onderzoek. Het is hier van belang dat de patiënt niet meer van positie verandert.
Contrast wordt hier in sommige gevallen toegediend, maar dit is geen regel.
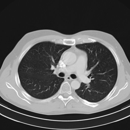
CT-scan van de thorax
Hier wordt een beeld gevormd van de structuren van de borstkas. De longen, het mediastinum maar ook de bloedvaten en het hart worden beoordeeld. Tijdens het onderzoek zal de patiënt gevraagd worden om de adem in te houden. Dit om een egale opvolging van de beelden te krijgen. Ook is het uiteraard van belang om tijdens het onderzoek niet te bewegen. Door de steeds toenemende snelheid van de toestellen is dit echter niet een zware opdracht, als je denkt dat een volledige longscan ongeveer een kleine dertig seconden in beslag neemt. Het kan echter zijn dat er volledigheidshalve een tweede opname wordt genomen, blijven liggen tot men u zegt dat het afgelopen is, is dus wel de boodschap.
Afhankelijk van de indicatie wordt er al dan niet besloten om contrast toe te dienen.
Ook hier is het dan nodig om de patiënt nuchter te houden ten minste vier uur voor het onderzoek.
Terug naar navigatie

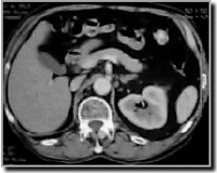
CT-scan van het abdomen of het kleine bekken

Een CT-scan van het abdomen of het kleine bekken wordt genomen om eventuele problemen ter hoogte van de darmen, lever, nieren, milt, enz… te beoordelen.
Ook hier is het van groot belang dat de patiënt tijdens het onderzoek niet beweegt. Er zal een aantal keren gevraagd worden om de adem op houden. Dit is eveneens belangrijk om een goede continuïteit van de beelden te garanderen.
Behalve wanneer het onderzoek wordt gedaan om een beeld te krijgen van de bloedvaten en de beenderstructuren, wordt in principe altijd contrast gegeven om te drinken. Intraveneus contrast wordt toegediend behalve bij beenderonderzoeken.
Hier is dan een goede voorbereiding nodig.
De dag voor het onderzoek wordt er een reinigingslavement gegeven of een oraal laxeermiddel.
De dag van het onderzoek moet de patiënt een liter contrastmiddel drinken over een uur tijd. Dit om de darmen zo goed mogelijk te vullen. Op die manier kan een duidelijk beeld gevormd worden van de darmen. Ook is een lavement met contrast soms noodzakelijk. Dit om de laatste delen van de darm te vullen.
(Nota: in sommige centra geeft men in plaats van een lavement reeds de dag voordien een fles verdund contrast. Dit geeft echter een minder duidelijk beeld van de laatste darmlissen.)
Terug naar navigatie
CT van het skelet
Een Ct-scan van het skelet wordt uitgevoerd wanneer er een verdere evaluatie nodig is van een letsel dat gezien is op een klassieke foto. Denk aan fracturen, luxaties e.d., maar ook aan metastasen, artrose,…Zo kan het bijvoorbeeld zijn dat een letsel niet duidelijk genoeg voorkomt op de foto’s en dat er dus twijfel bestaat. Maar ook kan het zijn dat een CT-scan noodzakelijk is om een duidelijk beeld te verkrijgen van een uitgebreide fractuur, om verdere behandeling te bepalen.
Dankzij de moderne computertechnieken is het niet alleen mogelijk om axiale beelden te maken. (lees schijfjes dwars op het lichaam) Maar ook om die beelden te reconstrueren tot een 3D-model. Dit geeft vaak een duidelijk beeld van het bot en zijn letsel.
Terug naar navigatie

